Welpenkarussell
Die Pausen zwischen den Mahlzeiten werden schon etwas größer, so dass Tia mal raus kann, wenn die Kleinen schlafen. Sie kuscheln sich zusammen, manchmal auch nur an den Hinterteilen.
Die Pausen zwischen den Mahlzeiten werden schon etwas größer, so dass Tia mal raus kann, wenn die Kleinen schlafen. Sie kuscheln sich zusammen, manchmal auch nur an den Hinterteilen.
Tia ist eine gute Mama. Geduldig legt sie sich auf die Seite, damit die Kleinen nuckeln können. Immer hängt eines an ihr. Die Welpen haben auch gleich am ersten Tag zugenommen. Dann leckt sie sie sauber und hat auch den vorwitzigen Ares im Auge, der sich schon wieder unter die Laken gegraben hat. Dann fiept er, weil er nicht weiter weiß. Da muss Mama helfen.
Orkan Sabine hat uns sechs süße Welpen ins Haus geweht, fünf Jungen und ein Mädchen: Ares, Amon, Armin, Arno und Arwen sind schwarz-weiß und Achill braun-weiß. Die Geburt verlief problemlos. Alle sind wohlauf. Tia ist eine liebe, hingebungsvolle Mutter, die aber trotzdem entspannt mir ihren Kindern umgeht.
Nun kann es nicht mehr lange dauern. Das Warten auf den Nachwuchs hat bald ein Ende. Tia ist rund wie ein Fass. Sie ruht viel, das Aufstehen strengt sie an. Die Spaziergänge werden kürzer. Nun wird schon mal in der Wurfbox Probe gelegen.

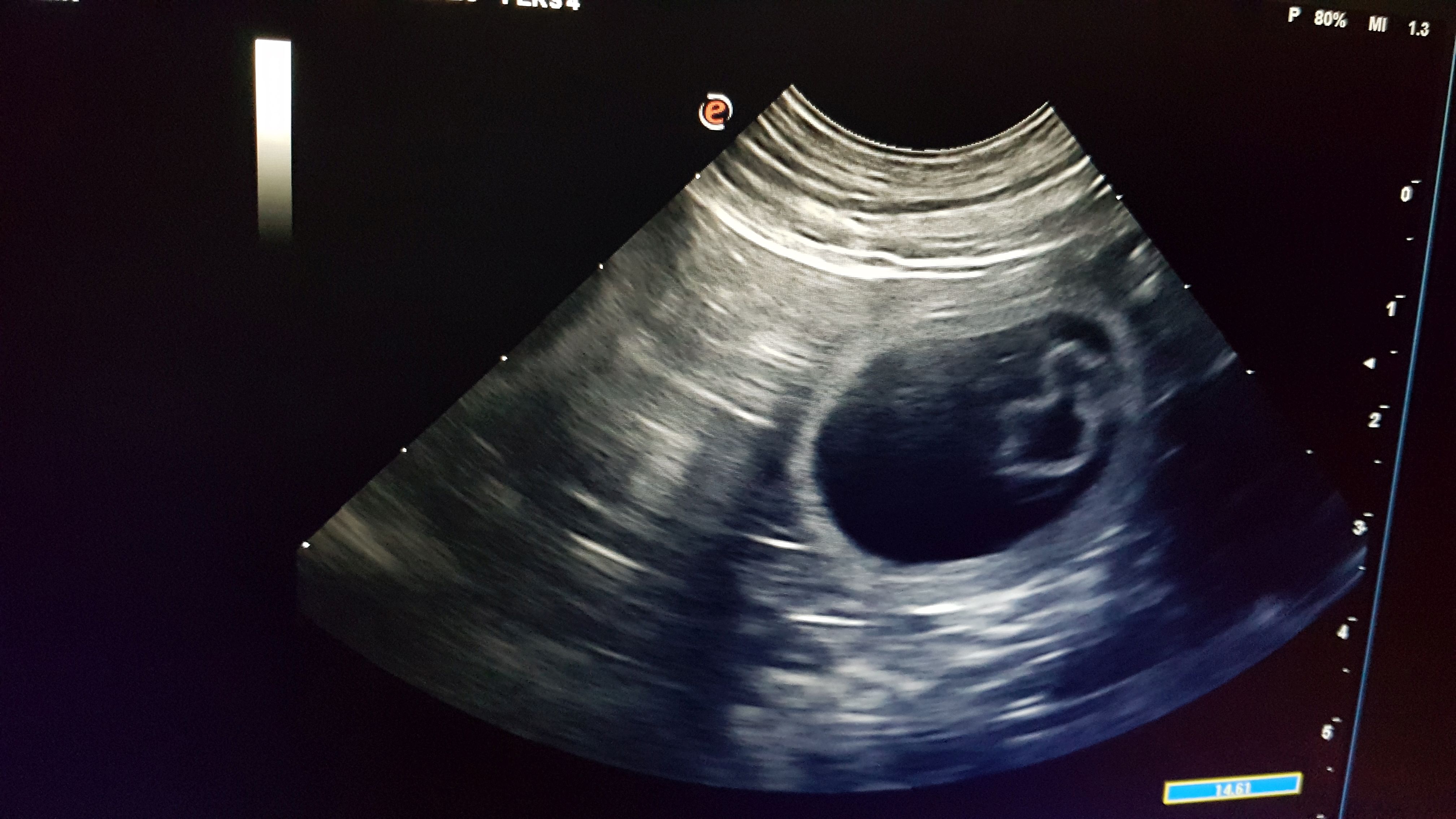
Heute ist DER Tag. Heute werden wir erfahren, ob Tia trächtig ist. Wir lassen sie mit Ultraschall untersuchen. Und da werden sie sichtbar: Hohlräume in schwarz mit kleinen Gebilden darin. Es hat geklappt!! Tia ist trächtig. Schätzungsweise sind es 6 bis 8 Fruchtanlagen.
Wir sind zur Hochzeit nach Holland gefahren. Sind Tia und Douwe nicht ein schönes Paar! Nun drücken wir die Daumen, dass es geklappt hat. Näheres wissen wir Anfang Januar.
Tia ist läufig! Eigentlich hätte sie erst Ende Dezember so weit sein sollen. Aber die Natur hält sich nicht immer an Regeln. Damit verschiebt sich der geplante Wurf auf Anfang – Mitte Februar.
Am 19.11.2019 war es soweit. Tia hatte ihr erstes Rendezvous, um Ihren Zukünftigen Bouncer kennenzulernen, der Douwe gerufen wird. Er ist ein gutaussehender, fünfjähriger Rüde aus Holland, ebenfalls schwarz-weiß mit einer hübschen weißen Quaste an der Rute.
Wir verabredeten uns im Nordpark von Düsseldorf. Es regnete. Aber davon ließen sich die Beiden nicht stören. Tia umsprang ihren Verlobten, da kam er kaum hinterher.